Zdravé zuby jsou perfektní nástroj pro rozmělňování potravy. To je nesporný fakt. Nemusíte se pak zdržovat krájením a mixováním různých surovin, abyste je do sebe mohli dostat. Chatrné zuby nebo chybějící zuby vás mohou přivést do situace, že si dopřejete jen některá jídla a že bude vaše strava spočívat spíše na kašovité konzistenci, takže si pak ani nevychutnáte chroupání mrkve, křupání smaženého sýra a přikusování zelného salátu.

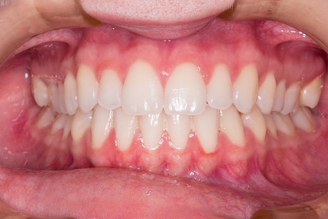
Mít zdravé zuby je ale výhodné i z estetického důvodu. Jen si představte, že přijdete o své zuby ve středním věku jen proto, že jste zanedbávali jejich péči. Umělý chrup nebo zuby jako „noty na buben“ rozhodně nejsou dobrou vizitkou a paradoxem je to, že i s pravidelným čištěním zubů třikrát denně můžete o zuby přijít. Jak je to možné?

Mezizubní prostory
Pravidelné čištění zubů klasickým kartáčkem je sice správné a chvályhodné, ale není dostačující. Tímto způsobem totiž vyčistíte pouze vnitřní a vnější plochy zubů, případně horní plošky. Mezizubní prostory však zůstanou nevyčištěné. Jestliže bude v mezizubních prostorách setrvávat zubní plak delší čas, může to vést ke vzniku zubního kamene a k zánětu dásní. Pokud tento proces trvá ještě déle, může dojít až k paradentóze a ztrátě zubů. Je tedy žádoucí používat kromě klasického kartáčku i kartáček mezizubní, případně dentální nit. Mezizubní kartáčky tedy nejsou komerční záležitost a reklamní trik, jak vytahovat peníze z vašich kapes, ale jde o velmi důležitou součást dentální hygieny v Praze za cenu dle ceníku. Nebo v Praze 10 a kdekoli jinde. Budete-li sami sebe podvádět a čištění zubů odfláknete, může se to na nich podepsat nevratným způsobem a namísto krásného zářivého úsměvu dvou řad bílých zubů budete zpytovat svědomí a možná litovat toho, že jste přece jen ve vaší dentální hygieně nebyli důslednější a pečlivější.